Feed
Library
Learning
Discuss
Leaderboard
Journal
Sign in
Login
Sign up
Sign in
Feed
Library
Learning
Discuss
Leaderboard
Journal
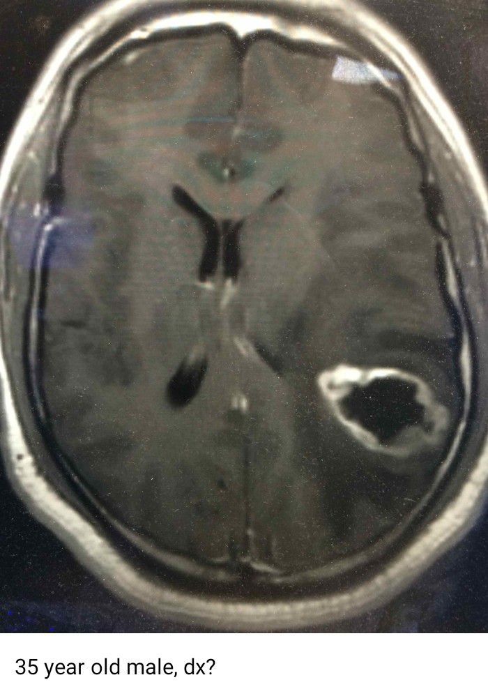
Dr Meredith Grey
over 3 years ago
Neurosurgery
Neurology
Neurosurgery
Neurosurgeon
0
0
1
Other comments
Sign in
to post comments. You don't have an account?
Sign up now!
Related posts
herniation secondary to raised ICP
Hyperekplexia
Symptoms of Hyperekplexia
Dandy Walker Malformation | Diagnosis symptoms and treatment
2-Minute Neuroscience: Brain Aneurysms
Seizures (Epilepsy) Nursing NCLEX: Tonic-Clonic, Generalized, Focal, Symptoms
Stroke: Causes, Risk Factors, Treatment, and Prevention | Mass General Brigham
Neurofibromatosis
Absence seizures
Symptoms of absence seizures
Recent MCQs
Show more MCQs
Recent flashcard sets
Show more flashcards
Feed
Learn
Add
Search
Discuss