
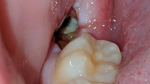
Dry socket (alveolar osteitis) is a painful dental condition that sometimes happens after you have a permanent adult tooth extracted. Dry socket is when the blood clot at the site of the tooth extraction fails to develop, or it dislodges or dissolves before the wound has healed.