
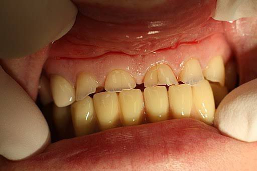
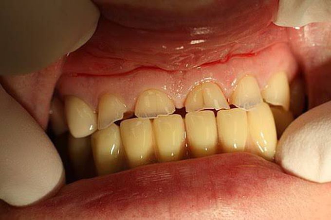
What Is Dental Abrasion? Dental abrasion is another form of dental damage caused by the forces applied to the teeth. Rather than being caused by tooth on tooth contact, abrasion is typically caused by outside elements, like aggressively brushing the teeth. Abrasion begins with the wearing down of the enamel.