MEDizzy
MEDizzy
Amy Kosran
Amy Kosranover 3 years ago
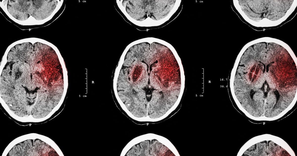
An already-approved drug could help repair the brain after a stroke

An already-approved drug could help repair the brain after a stroke

Gabapentin, which is currently used to control seizures and manage nerve pain, might help nerve cells regrow in the brain.

Source: https://bigthink.com/health/gabapentin-repair-brain-stroke/
8
Other commentsSign in to post comments. You don't have an account? Sign up now!

Recent MCQs















Show more MCQs

Recent flashcard sets















Show more flashcards