
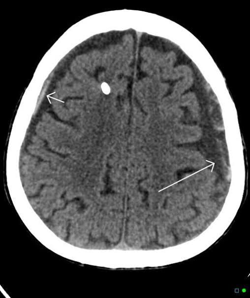
A chronic subdural hematoma (SDH) is a collection of blood on the brain’s surface, under the outer covering of the brain (dura). It usually begins forming several days or weeks after bleeding initially starts. Bleeding is usually due to a head injury. A chronic SDH doesn’t always produce symptoms. When it does, it generally requires surgical treatment.