
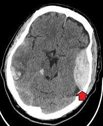
An epidural hematoma (EDH) is a collection of blood that forms between your skull and the dura mater, the outermost protective membrane covering your brain. The cause is usually an artery that gets torn by a skull fracture. Symptoms include severe headache and loss of consciousness.