
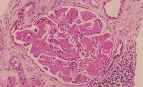
Familial renal amyloidosis (FRA) is a group of hereditary disorders in which misfolded proteins—amyloid—accumulate in the kidneys, causing proteinuria and/or hypertension followed by progressive renal failure. What causes kidney-related amyloidosis? Amyloidosis is caused by an abnormal folding of proteins. These proteins can clump together and form amyloid deposits. The deposits collect in organs and tissues and may lead to organ damage and health problems, including kidney disease.