
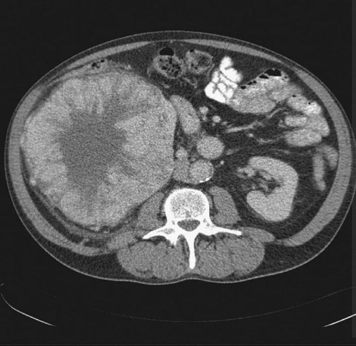
61-year old male patient presented with lower back/right flank pain. CT showed large right renal mass and radical nephrectomy was performed. PH confirmed typical features of oncocytoma without evidence of malignacy. Renal oncocytomas are relatively benign renal tumors. Very often they are pre-operatively difficult to distinguish from renal cell carcinomas. Usually they are asymptomatic, but flank pain,hematuria or hypertension may be present. Enchacement on CT is usually heterogeneous and central stellate non-enhancing scar is seen in ~33% cases. (case credits: S. Ahmad, R. Manecksha)