
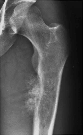
Chondrosarcoma is a type of bone cancer that develops in cartilage cells. Cartilage is the specialized, gristly connective tissue that is present in adults and the tissue from which most bones develop. Cartilage plays an important role in the growth process. What are the symptoms of chondrosarcoma? Large lump (mass) on a bone. Feeling of pressure around the lump. Pain that gets worse over time. Weakness and limited movement in a limb or joint. Local swelling. Joint stiffness. Tumors in the pelvis can cause bowel and/or bladder problems.