
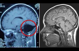
A 15yr child born without cerebellum as shown in the MRI. Having a history of balance problem during walking running or any daily activities. Strange right.?
Breathing is compensated by other centers of the brain however patients with this condition always have a certain level of clumsiness. This can be slightly moderated by training in sports. The only other case I've ever seen was in a 26 yr old female.