MEDizzy
MEDizzy
Arif Hussain
Arif Hussainabout 7 years ago
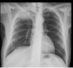
Wt will be ur diagnose....

Wt will be ur diagnose....

4
Top rated comment
about 7 years ago

Pancoast tumor

Other commentsSign in to post comments. You don't have an account? Sign up now!
about 7 years ago

Tuberculosis 😁

about 7 years ago

right upper lobe Atlectasis🤔

about 7 years ago

Carcinoma apex of the lung (pancoast tumor)

Recent MCQs















Show more MCQs

Recent flashcard sets















Show more flashcards