MEDizzy
MEDizzy
Hunain
Hunainalmost 4 years ago
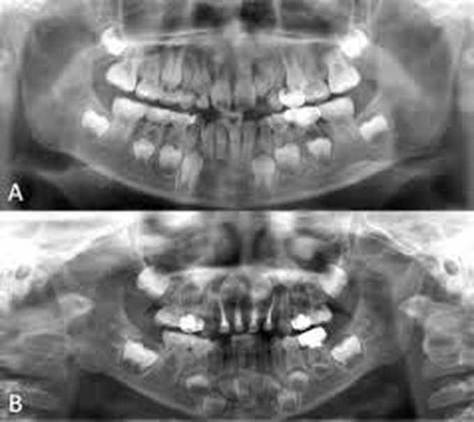
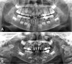
Hyperhypodontia

Hyperhypodontia

The simultaneous occurrence of hypodontia and supernumerary teeth in the same individual is termed as "concomitant hypohyperdontia" and it is an uncommon condition with the etiology still unknown.

1
Other commentsSign in to post comments. You don't have an account? Sign up now!

Recent MCQs















Show more MCQs

Recent flashcard sets















Show more flashcards