
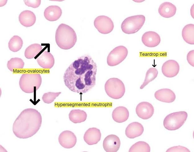
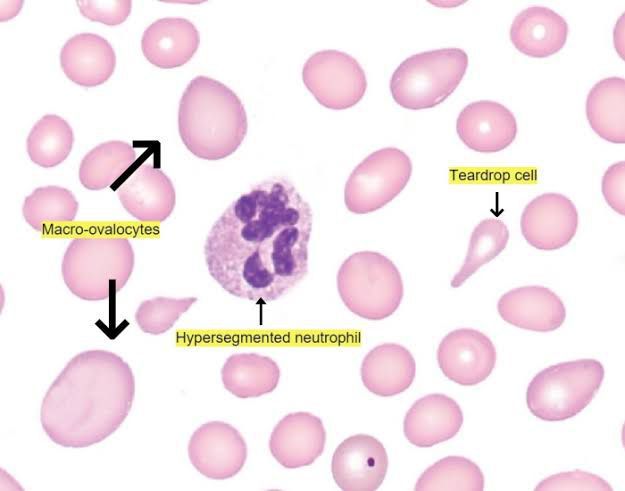
Megaloblastic anemia is a condition in which the bone marrow produces unusually large, structurally abnormal, immature red blood cells (megaloblasts). Bone marrow, the soft spongy material found inside certain bones, produces the main blood cells of the body -red cells, white cells, and platelets.