
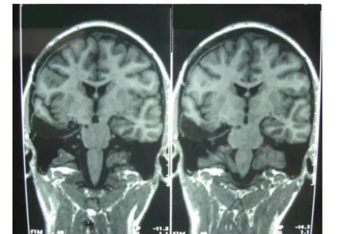
In a strange case, a woman developed "hyper empathy" after having a part of her brain called the amygdala removed in an effort to treat her severe epilepsy, according to a report of her case. The amygdala is involved in recognizing emotions, and removing it would be expected to make it harder rather than easier for a person to read others' emotions, according to the researchers who reported her case, published Aug. 14 in the journal Neurocase. [Image: Patient's MRI Scan after Removing Amygdala] The woman reported experiencing a new, spectacular emotional arousal and feeling physical effects along with her emotions, such as a "spin at the heart" or an "esophageal unpleasant feeling" when experiencing sadness or anger. The researchers evaluated her psychological condition and found she performed exceptionally well on standard tests of empathic abilities. The researchers said that perhaps, even though the amygdala was gone, other brain regions and newly organized connections among them, were responsible for driving stronger empathy. By: https://www.livescience.com/37919-oddest-medical-case-reports/3.html#google_vignette
This is so interesting. Thanks for sharing!