MEDizzy
MEDizzy
Dr.rasoul
Dr.rasoulabout 7 years ago
🔻Pathology quiz🔻

🔻Pathology quiz🔻

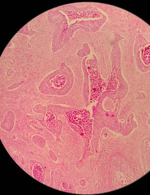
What's your dx? 1. Adeno cell carcinoma 2. Teratoma 3. Squamous cell carcinoma 4. Lipoma

27
Other commentsSign in to post comments. You don't have an account? Sign up now!
about 7 years ago

Squam cell carcinoma

about 7 years ago

SCC

about 7 years ago

3

about 7 years ago

Squamous cell carcinoma

about 7 years ago

3

Recent MCQs

‌
‌

‌
‌

‌
‌

‌
‌

‌
‌
Show more MCQs

Recent flashcard sets

‌
‌

‌
‌

‌
‌

‌
‌

‌
‌
Show more flashcards