
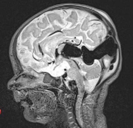
✅It is constituted by a midline dilated venous structure that receives blood from abnormal macroscopic or microscopic arteriovenous shunting vessels.⠀ ⠀ ✅Between the 6th and the 11th wk of intrauterine life, the arterial supply to the forming telencephalic choroidal plexus comes from the primary terminal branches of the internal carotid artery, while the venous drainage is directed toward the median prosencephalic vein.⠀ ⠀ ⠀ ✅This vessel than regresses and form the two internal cerebral veins and, in its most caudal part, the vein of Galen. ⠀ ⠀ ⠀ ✅🔷The failure of the regression of the median prosencephalic vein causes the formation of direct arteriovenous fistulae within the velum interpositum and the quadrigeminal cistern, where the vein is located.⠀ ⠀ ✅The median prosencephalic vein dilates and may reach a balloon size and the high flow into the fistula does not allow the normal dural sinuses to form⠀ ⠀ ⏩It is of two types, choroidal and mural. ⠀ ⠀ ✅Choroidal is seen in most neonates with a low clinical score, because of cardiac failure.⠀ ⠀ 🔷It is supplied from all choroidal arteries and their branches that open into the enlarged venous pouch.⠀ ⠀ ✅Mural is better tolerated and is seen in infants without cardiac symptoms. It is formed from single or multiple direct AV fistulae within the wall of it.⠀ ⠀ ⏩The cardiac manifestations can range from asymptomatic cardiomegaly to severe congestive cardiac failure.⠀ ⠀ ✅This rapidly progressive disease worsens within the first three days of life.⠀ ⠀ 🔷The medical treatment is based on low dose inotropic support and peripheral vasodilatation that improve the cardiac output.⠀ ⠀ 🔷CCF resolves spontaneously after a proper endovascular treatment. By: https://www.instagram.com/p/CZPBCEkhsKN/?utm_source=ig_web_copy_link