
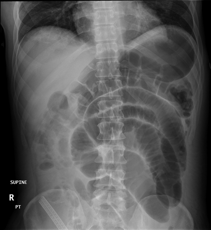
The initial investigation of choice for suspected case of bowel obstruction is supine x-ray. The level of obstruction can be demonstrated mostly on x-ray. In cases where level of obstruction is not defined, CT scan is the diagnostic modality of choice. Dilated loops are easily demonstrated in case of bowel obstruction. Gas-fluid levels > 2.5 cm are indicated of bowel obstruction. Reference: Bailey and Love's Short Practice of Surgery Image via: https://www.researchgate.net/publication/49764047_Evaluation_and_Management_of_Intestinal_Obstruction/figures?lo=1