
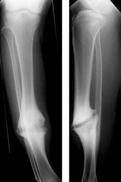
Non-union refers to inability of the bone to heal or no healing potential demonstrated by bone. There are three types of non-union: 1. HYPERTROPHIC NON-UNION: Hypertrophic non-union occurs due to excessive movements on the fracture site 2. ATROPHIC NON-UNION: Atrophic non-union occurs due to biological factors e.g., blood supply and lack of stimulus to stimulate bone growth 3. INFECTIVE NON-UNION: Infections delays the healing of the bone Reference: Bailey and Love's Short Practice of Surgery Image via: https://en.wikipedia.org/wiki/Nonunion