
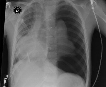
Luxatio cordis refers to dislocation of the heart. This condition is a rare complication of blunt trauma to thorax. The management involves stabilizing hemodynamic status followed by surgical repositioning of the heart and repair of pericardial tears. Reference: https://pubmed.ncbi.nlm.nih.gov/12122540/ Image via: https://www.annalsthoracicsurgery.org/article/S0003-4975(12)02801-9/fulltext