
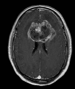
'Butterfly' glioblastoma is so named because of its tendency to cross midline over the corpus callosum to extend into the opposite hemisphere. It is a rare brain malignancy. It is a tumor with poor prognosis; the survival is few months after the diagnosis. Due to unfavorable position, surgical resection is not effective. Reference: https://www.nature.com/articles/s41598-021-93441-z#:~:text=Butterfly%20glioblastoma%20(bGBM)%20is%20a,risk%2Dto%2Dbenefit%20ratio. Image via: https://operativeneurosurgery.com/doku.php?id=butterfly_glioma