
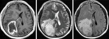
Brain tumors constitute 1.5% of all the cases of cancer. Individual with brain tumor may present with one or more of the following cardinal clinical feature: 1. seizures 2. focal neurological deficits 3. raised intracranial pressure Reference: Bailey and Love's Short Practice of Surgery Image via: https://www.uib.no/en/btrc/101032/primary-brain-tumours