
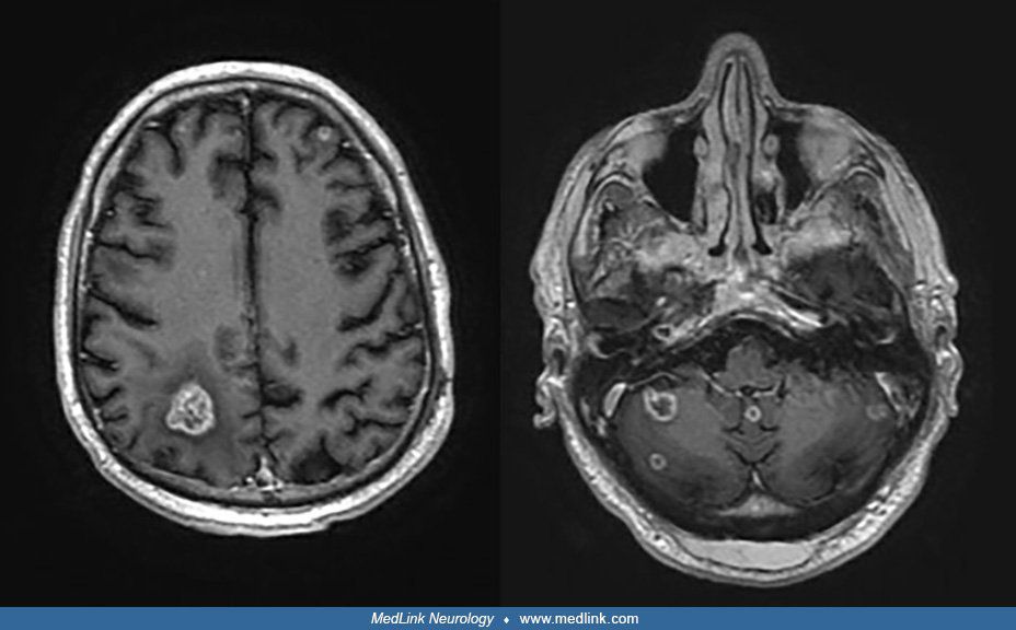
Brain metastases is the most common tumor in the brain. Common primary tumors that can metastasize to brain are: - lungs - brain - renal carcinoma - melanoma - other genitourinary tumors Reference: Bailey and Love's Short Practice of Surgery Image via: https://www.medlink.com/articles/brain-metastases