
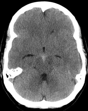
Subarachnoid hemorrhage most commonly occurs secondary to rupture of berry aneurysm. It presents with severe headache. Following are the CT findings of subarachnoid hemorrhage: - hyperdensity in subarachnoid space - blood present in interpeduncular fossa, manifested as triangular area of hyperdensity Reference: https://radiopaedia.org/articles/subarachnoid-haemorrhage Image via: https://radiopaedia.org/articles/subarachnoid-haemorrhage