
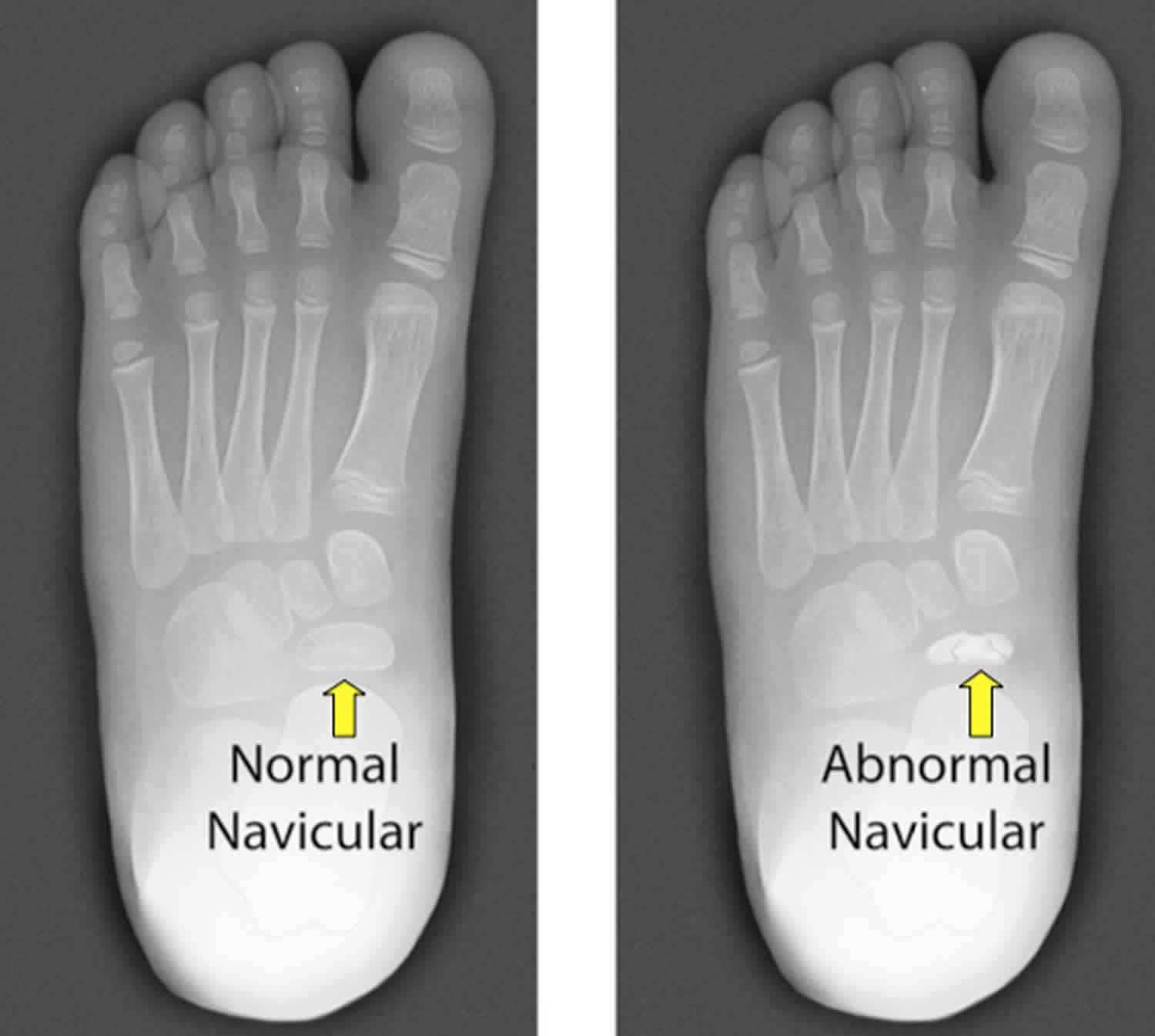
Short named as just 'Kohler's disease', it is a rare disorder of the bone characterized by stress fracture of the navicular bone during the growth phase. The resultant is limping, pain, and swelling. The commonly affected age group is 3 to 7 years old. It is more common in males as compared to female children. Typically, children may grow out of their disease with age. This condition has excellent prognosis. Reference: https://rarediseases.org/rare-diseases/kohler-disease/ Image via: https://healthjade.net/kohlers-disease/