Feed
Library
Learning
Discuss
Leaderboard
Journal
Sign in
Login
Sign up
Sign in
Feed
Library
Learning
Discuss
Leaderboard
Journal
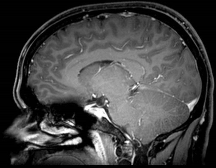
Dr Meredith Grey
almost 4 years ago
neurosurgery
Medicine
Medstudent
Neurosurgery
Med
Neurosurgeon
2
0
3
Other comments
Sign in
to post comments. You don't have an account?
Sign up now!
Related posts
What????
Best Anabolic Steroids Natural Muscle Boosters: A 2025 Review
Lidocaine HCl
Best Probiotics For Womens 2025: Are They More Effective?
Emergency Medications
Breastfeeding and Medications II
Preparation for USMLE
Effects of sugar on teeth
Neurofibromatosis
Recent MCQs
Show more MCQs
Recent flashcard sets
Show more flashcards
Feed
Learn
Add
Search
Discuss