Feed
Library
Learning
Discuss
Leaderboard
Journal
Sign in
Login
Sign up
Sign in
Feed
Library
Learning
Discuss
Leaderboard
Journal
DR.Anupama S B💖
almost 2 years ago
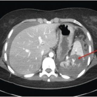
CECT abdomen, traumatic injury
Grade 4 abdomen injury. CECT of abdomen, Traumatic injury Identify the which organs are affected??
Trauma
Injury
Ct
Penetration
5
0
1
Other comments
Sign in
to post comments. You don't have an account?
Sign up now!
Related posts
Three types of peripheral nerve injury.
Microneurosurgery
Subluxation
Extrusive Luxation
Intrusive Luxation
Abrasion
Avulsion
Types of Dental Trauma
Traumatic exposure of pulp
Traumatic ulcer
Recent MCQs
‌
‌
‌
‌
‌
‌
‌
‌
‌
‌
Show more MCQs
Recent flashcard sets
‌
‌
‌
‌
‌
‌
‌
‌
‌
‌
Show more flashcards
Feed
Learn
Add
Search
Discuss