Feed
Library
Learning
Discuss
Leaderboard
Journal
Sign in
Login
Sign up
Sign in
Feed
Library
Learning
Discuss
Leaderboard
Journal
A
Abba
7 months ago
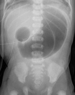
Double Bubble Sign
Duodenal Atresia
Pediatric
Atresia
Duodenal
580
0
15
Other comments
Sign in
to post comments. You don't have an account?
Sign up now!
Related posts
Hirschsprung disease
Penis ablation
AV complete block
Pediatric Achalasia
Peptic Ulcer
Common Pediatric Viral Exanthem
Pediatric Disorders
Pediatric Disorders II
Mental and physical health are interconnected. We, as a society, need to work on emphasizing the importance of the two. This would prevent people developing physical and mental diseases at earlier and earlier ages.
Invitation for Pediatrics Conference
Recent MCQs
Show more MCQs
Recent flashcard sets
Show more flashcards
Feed
Learn
Add
Search
Discuss