
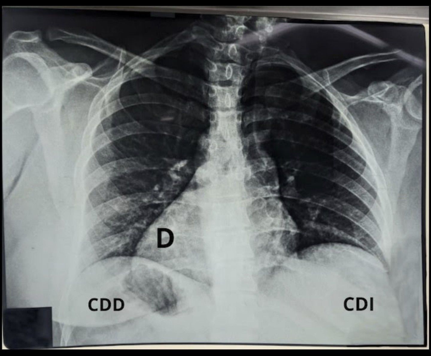
Situs inversus totalis (SIT) is a rare congenital malformation characterized by the complete reversal (transposition) of the normal location of the thoracic and abdominal organs. SIT is a very rare condition, with the incidence rate in humans estimated to be 0.01–0.02%, within which there is an equal prevalence among males and females. The exact causes of SIT are unknown. As the mechanisms for asymmetry in vertebrates are being defined, a number of genes that express asymmetry in embryonic development are being identified that appear to play a critical role in determining the left–right axis and may be linked to the development of SIT. SIT does not typically affect quality of life or lifespan; however, it has been linked to cardiac and vascular alterations associated with increased risks of heart, spleen and hepatobiliary malformations. SIT is also associated with Kartagener’s syndrome, which is an autosomal recessive disorder also known as primary ciliary dyskinesia.