
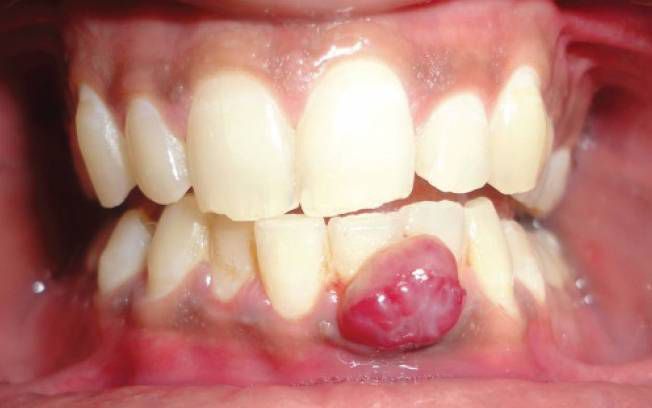
Pyogenic granuloma is a benign growth which mostly occurs at gingiva during pregnancy under the influence of hormones, trauma, or local irritation. These granulomas may develop during the second or third trimester. These lesions are often painless. Reference: https://pubmed.ncbi.nlm.nih.gov/29040143/ Image via: https://www.icliniq.com/articles/dental-oral-health/oral-pyogenic-granuloma