
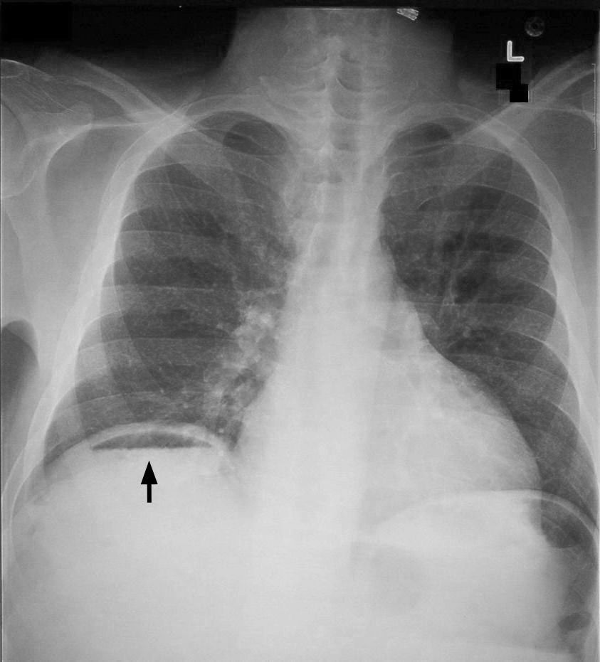
Free air under the diaphragm is known as pneumoperitoneum. Following conditions may give rise to free air under the diaphragm: - perforation of hollow viscus - post laparotomy - pneumatosis coli - vaginal insufflation to determine tubal patency - Chilaiditi's syndrome - biliary lipomatosis - liver abscess rupture - air in retroperitoneum - incompetent sphincter of Oddi - gallstone ileus - post-tonsillectomy - post dental extraction - intra-abdominal sepsis - arthroscopy of knee Reference: https://www.ncbi.nlm.nih.gov/pmc/articles/PMC5079354/ Image via: https://en.wikipedia.org/wiki/Pneumoperitoneum