Feed
Library
Learning
Discuss
Leaderboard
Journal
Sign in
Login
Sign up
Sign in
Feed
Library
Learning
Discuss
Leaderboard
Journal
Medical lover💉❤💉
almost 4 years ago
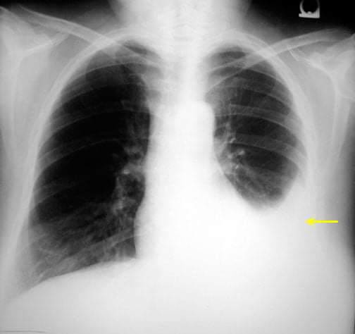
What's your diagnosis?
Chest
Problem
Xrays
Physiology Of Breathing
78
3
1
Other comments
Sign in
to post comments. You don't have an account?
Sign up now!
Bhushan Suryawanshi
almost 4 years ago
Plural effusion
1
Reply
KF
Karrar Fadhil
almost 4 years ago
Pleurisy or pleural effusion
1
Reply
b
benedicta
over 3 years ago
Pleural effusion
1
Reply
Related posts
Cause of Earache
Flail chest management
Ufffffffff
Chest x-rays 🩻
Symptoms of Pancoast tumor
'Exceedingly enlarged' mass found in man's chest
Hemothorax
Bones of the Chest
Darier Disease.
Best areas for auscultation
Recent MCQs
Show more MCQs
Recent flashcard sets
Show more flashcards
Feed
Learn
Add
Search
Discuss