
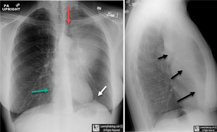
Luftsichel sign is derived from german word 'luft' which means air. It refers to a feature present on chest radiograph which arises as a result of hyperinflation of superior portion of left lower lobe. Luftsichel sign may be present in the following conditions: - left upper lobe collapse - lung malignancy - pneumomediastinum - right lung herniation Reference: https://radiopaedia.org/articles/luftsichel-sign-lungs?lang=us Image via: https://radiopaedia.org/cases/left-upper-lobe-collapse-14