
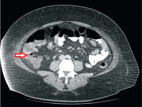
Following features on CAT scan are indicative of acute appendicitis: - dilated appendix with diameter of more than 0.6 cm - thickened wall of appendix > 0.2 mm - stranding of mesenteric fat - appendicolith may or may not be present - peri-intestinal fluid Reference: https://www.ncbi.nlm.nih.gov/pmc/articles/PMC5181572/#:~:text=CT%20findings%20of%20acute%20appendicitis,but%20it%20can%20also%20mislead. Image via: https://www.researchgate.net/publication/335604115_Appendicular_Neuroendocrine_Neoplasm_is_Associated_with_Acute_Appendicitis_-_Don%27t_Miss_the_Boat/figures?lo=1&utm_source=google&utm_medium=organic