
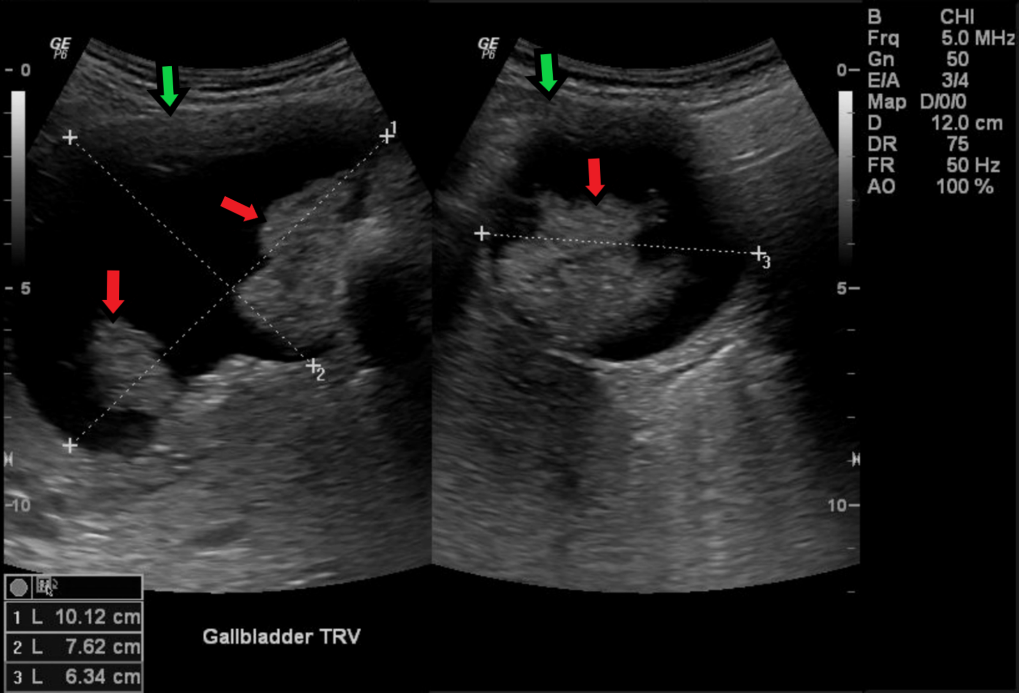
The cancer of gallbladder is rare. It accounts for less than 1% of the newly diagnosed cancers. The median age of presentation is 7th and 8th decade. The most common gallbladder cancer is adenocarcinoma. Squamous cell carcinoma is rare. The prognosis of gallbladder cancer is grim. Patient may survive for less than 6 months after the diagnosis. Reference: Bailey and Love's Short Practice of Surgery Image: https://www.cureus.com/articles/18437-evaluation-of-mucin-producing-gallbladder-carcinoma-using-magnetic-resonance-cholangiopancreatography-a-case-report