
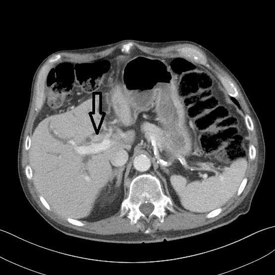
Hilar carcinoma occurs at the confluent of left and right hepatic bile ducts. Many conditions such as primary sclerosing cholangitis, choledochal cysts, clonorchis sinensis infections, and exposure to nitrosamine and asbestos can predispose to this type of malignancy. Reference: https://en.m.wikipedia.org/wiki/Klatskin_tumor Image via: https://radiopaedia.org/cases/klatskin-tumour-1?lang=gb