MEDizzy
MEDizzy
Siddharth Ajay
Siddharth Ajayabout 7 years ago
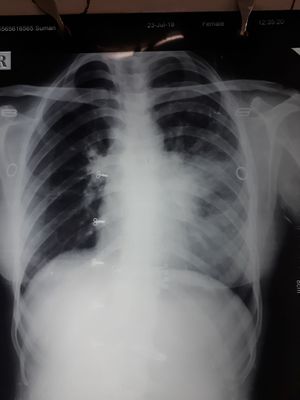
23 yr old female cough fever DOE 2 weeks

23 yr old female cough fever DOE 2 weeks

18
Top rated comment
about 7 years ago

Left lower lobe consolidation in pneumoniae.

Other commentsSign in to post comments. You don't have an account? Sign up now!
about 7 years ago

Loculated pneumonia left lower lobe

about 7 years ago

LLL PNA ...... looks like s/p intubation for surgical procedure

about 7 years ago

Pneumonia?????

about 7 years ago

Pneumonia seen on left lower lope.....and can't the patient remove the bra before the chest Radiograph???

Recent MCQs















Show more MCQs

Recent flashcard sets















Show more flashcards