
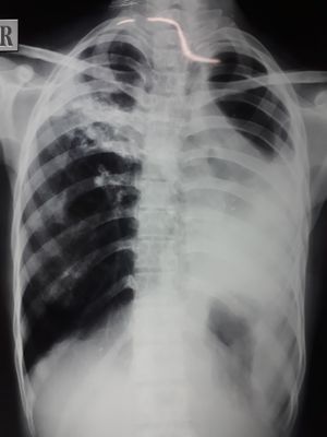
18 yr old female past h/o ATT FOR 9 months in childhood.now c/o cough breathlessness on exertion and fever since 1 month.
It could be hemothorax. Pyothorax. Sonography of thorax or ct scan can be helpful. And then tap the effusion inorder to diagnose the source of effusion.