MEDizzy
MEDizzy
Siddharth Ajay
Siddharth Ajayover 7 years ago
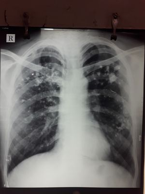
Past h/o ATT for 9 month. C/o haemoptysis since week and DOE ch smoker

Past h/o ATT for 9 month. C/o haemoptysis since week and DOE ch smoker

2
Other commentsSign in to post comments. You don't have an account? Sign up now!
over 7 years ago

TB? Pulmonary fibrosis? Alveolar hemorrhage? I dont know. đŸ˜Ģ

over 7 years ago

Tb?

over 7 years ago

Metastasis lung cancer -Multiple nodules see in the both lungs

over 7 years ago

Metastasises in both lungs

Recent MCQs

‌
‌

‌
‌

‌
‌

‌
‌

‌
‌
Show more MCQs

Recent flashcard sets

‌
‌

‌
‌

‌
‌

‌
‌

‌
‌
Show more flashcards