MEDizzy
MEDizzy
N
Natalieeeeover 7 years ago
What’s your diagnosis???

What’s your diagnosis???

36
Top rated comment
over 7 years ago

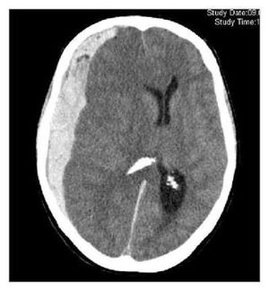
Subdural hematoma with midline shift

Other commentsSign in to post comments. You don't have an account? Sign up now!
over 7 years ago

Subdural hematoma ( acute )

over 7 years ago

Subdural hematoma

over 7 years ago

SDH

over 7 years ago

Subdural hematoma

over 7 years ago

Mid shift, hematoma

over 7 years ago

Subdural hematoma

over 7 years ago

SDH

over 7 years ago

SDH with midline shift

12

Recent MCQs















Show more MCQs

Recent flashcard sets















Show more flashcards