Feed
Library
Learning
Discuss
Leaderboard
Journal
Sign in
Login
Sign up
Sign in
Feed
Library
Learning
Discuss
Leaderboard
Journal
Siddharth Ajay
about 7 years ago
Ur comments pls!!!
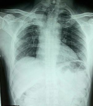
20 yr old male c/o cough and fever since 2 months
Medicine
Drugs
Chest
0
0
1
Other comments
Sign in
to post comments. You don't have an account?
Sign up now!
Related posts
Narrow Therapeutic Index Drugs
Antidiabetic Drugs II
Metoprolol I
Breastfeeding and Medications II
Antiemetic Drug Classes
Drug Antidotes
Antianginal Drugs
Neurofibromatosis
Highly active antiretroviral therapy
Recent MCQs
Show more MCQs
Recent flashcard sets
Show more flashcards
Feed
Learn
Add
Search
Discuss