Feed
Library
Learning
Discuss
Leaderboard
Journal
Sign in
Login
Sign up
Sign in
Feed
Library
Learning
Discuss
Leaderboard
Journal
Siddharth Ajay
over 7 years ago
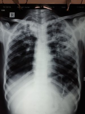
23 ur old male c/o cough with scanty sputum fever dyspnoea 2 month
Xray
Chest
X
0
2
1
Other comments
Sign in
to post comments. You don't have an account?
Sign up now!
Dr. Sunil
over 7 years ago
Pulmonary koch's?
0
Reply
DK
Duong Kien
over 7 years ago
Beware of TB
0
Reply
Related posts
Identify the Pathology
Darier Disease.
Ankle X-ray Anatomy
Lateral Ankle X-ray Anatomy
Pediatric Ankle X-ray Anatomy
Hip X-ray Anatomy
Lateral Hip X-ray Anatomy
Pelvic X-ray Anatomy
Best areas for auscultation
Chest X-Rays
Recent MCQs
Show more MCQs
Recent flashcard sets
Show more flashcards
Feed
Learn
Add
Search
Discuss