Feed
Library
Learning
Discuss
Leaderboard
Journal
Sign in
Login
Sign up
Sign in
Feed
Library
Learning
Discuss
Leaderboard
Journal
Siddharth Ajay
over 7 years ago
Ur comments pls!!!
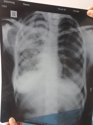
20 yr old girl c/o cough fever breathlessness since 2 months.
Medicine
Drugs
Chest
0
1
1
Top rated comment
Dr. Sunil
over 7 years ago
Pneumonia??
0
Reply
Other comments
Sign in
to post comments. You don't have an account?
Sign up now!
Related posts
Breastfeeding and Medications II
Antiemetic Drug Classes
Drug Antidotes
Antianginal Drugs
Neurofibromatosis
Highly active antiretroviral therapy
Women’s Reproductive Health & Daily Wellness
Gelatine Sculpt | Official Website
BurnSlim Official | Support Your Weight Management Journey
Recent MCQs
Show more MCQs
Recent flashcard sets
Show more flashcards
Feed
Learn
Add
Search
Discuss