
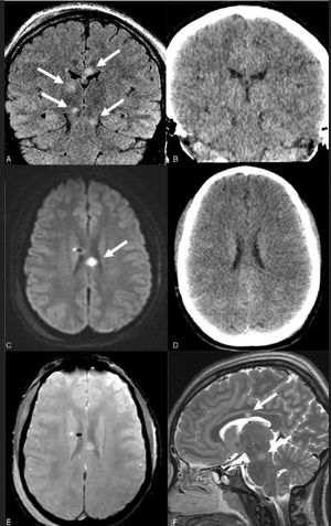
What's your dx? 1. Alzheimer 2. Diffuse axonal disease 3. MS 4. HIV infection of the brain
3. multiple sclerosis. Plaques suggestive of MS are typically found on MRI in the periventricular region, corpus callosum, centrum semiovale, and, to a lesser extent, deep white matter structures and basal ganglia. MS plaques usually have an ovoid appearance.
Living with Alzheimer’s disease was one of the hardest experiences of my life. The memory loss, the confusion, and the fear of losing myself weighed on me every single day. I had tried so many treatments and medications, but nothing seemed to stop the disease from progressing.Out of both hope and desperation, I came across NaturePath Herbal Clinic. At first, I was skeptical, but something about their natural approach and the stories I read gave me the courage to try one more time.I began their herbal treatment program, and within a few weeks, I noticed small changes clearer thinking, better focus, and a calmer mind. Over the months, those improvements became more and more obvious. Today, I can truly say my life has changed. My memory has improved, and I feel more present and engaged than I have in years.This isn’t just a testimony it’s a heartfelt recommendation to anyone struggling with Alzheimer’s or other chronic conditions. Don’t give up hope. I’m so grateful I gave NaturePath Herbal Clinic a chance. Visit their website to learn more: www.naturepathherbalclinic.com info@naturepathherbalclinic.com
Living with HIV was one of the hardest experiences of my life. The fatigue, the emotional toll, and the uncertainty about the future weighed on me every single day. I had tried many treatments and medications, but nothing seemed to restore my health or energy the way I hoped.Out of both hope and desperation, I came across NaturePath Herbal Clinic. At first, I was skeptical but something about their natural approach and the powerful stories I read gave me the courage to try one more time.I began their herbal treatment program, and within a few weeks, I noticed small but meaningful changes more energy, better sleep, and a stronger immune system. Over the months, those improvements only grew. Today, I can truly say my life has changed. I feel healthier, more balanced, and finally in control of my well-being again.This isn’t just a testimony it’s a heartfelt recommendation to anyone living with HIV or any chronic condition. Don’t give up hope. I’m so grateful I gave NaturePath Herbal Clinic a chance. Visit their website to learn more: www.naturepathherbalclinic.com Email: info@naturepathherbalclinic.com