Feed
Library
Learning
Discuss
Leaderboard
Journal
Sign in
Login
Sign up
Sign in
Feed
Library
Learning
Discuss
Leaderboard
Journal
Dr Vijay Sharma
about 4 years ago
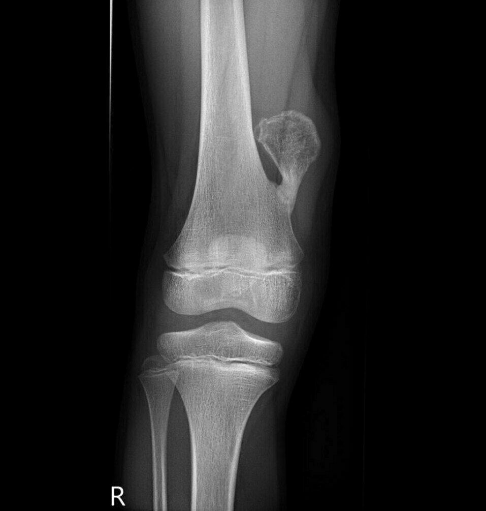
Distal femoral osteochondroma
Mbbs
Medicalstudent
Mbbs Medical Life
Orthopaedics
Medicogram
show 15 more
20
0
1
Top rated comment
DB
Dr Bharat Bhushan
almost 4 years ago
Osteochondroma
0
Reply
Other comments
Sign in
to post comments. You don't have an account?
Sign up now!
Related posts
What is Rheumatoid Arthritis? | Johns Hopkins Rheumatology
Ankylosing Spondylitis | HLA-B27, Pathophysiology, Signs & Symptoms, Diagnosis, Treatment
What is scoliosis?
Osteosarcoma - Pathology, Symptoms, Diagnosis, Treatment
Preparation for USMLE
Arthroscopic findings in degenerative joint disease
Rheumatoid Arthritis Changes in the TMJ
Bisphosphonate-induced osteonecrosis.
External nose bones
Reactive Arthritis Symptoms
Recent MCQs
Show more MCQs
Recent flashcard sets
Show more flashcards
Feed
Learn
Add
Search
Discuss