MEDizzy
MEDizzy
Dayu Dwi Deria
Dayu Dwi Deriaover 7 years ago
Can someone tell what the DX is?

Can someone tell what the DX is?

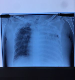
Old man came with a chest pain and here the thorax Ro

569
Top rated comment
over 7 years ago

Atelectasis?????..........__As well as the trachea are rounded by J shape ....It was lung volume are loss and the right upper lobe (apex) are always infected........

Other commentsSign in to post comments. You don't have an account? Sign up now!
over 7 years ago

??

over 7 years ago

Collapsed lung (atelectasis) cud be due to accumulation of air, blood, inflammatory tissues

Recent MCQs















Show more MCQs

Recent flashcard sets















Show more flashcards