
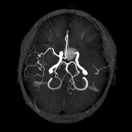
About 85% of cases of subarachnoid hemorrhage are attributed to ruptured berry aneurysm. The aneurysm is most commonly present at anterior communicating artery, posterior communicating artery, and middle cerebral artery. Reference: Davidson's Principles and Practice of Medicine Image via: https://radiopaedia.org/images/36684192?case_id=58816