
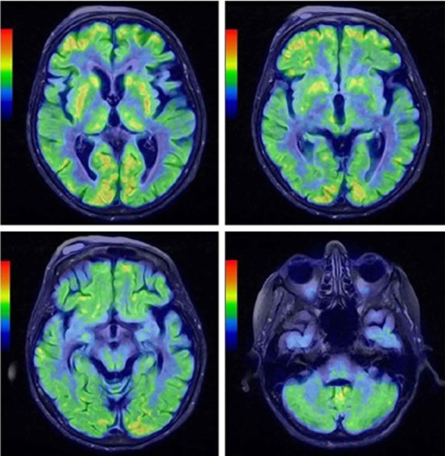
Shy-Drager syndrome is a progressive disorder affecting central and peripheral nervous system. It is characterized by degeneration of autonomic nervous system. In addition, various structures in cerebellum along with vagal nuclei are also degenerated. The condition is usually associated with orthostatic hypotension, impotence, bladder and bowel problems. Tremor, postural instability, and rigidity are also prominent features of Shy-Drager Syndrome. Reference: https://www.sciencedirect.com/topics/neuroscience/shy-drager-syndrome Image via: https://healthjade.net/shy-drager-syndrome/
Can someone tell me what is the name of the investigation presented above and what does the colours represent?
Why there is no sagital or coronal image's and why only diffusion image's are present.