
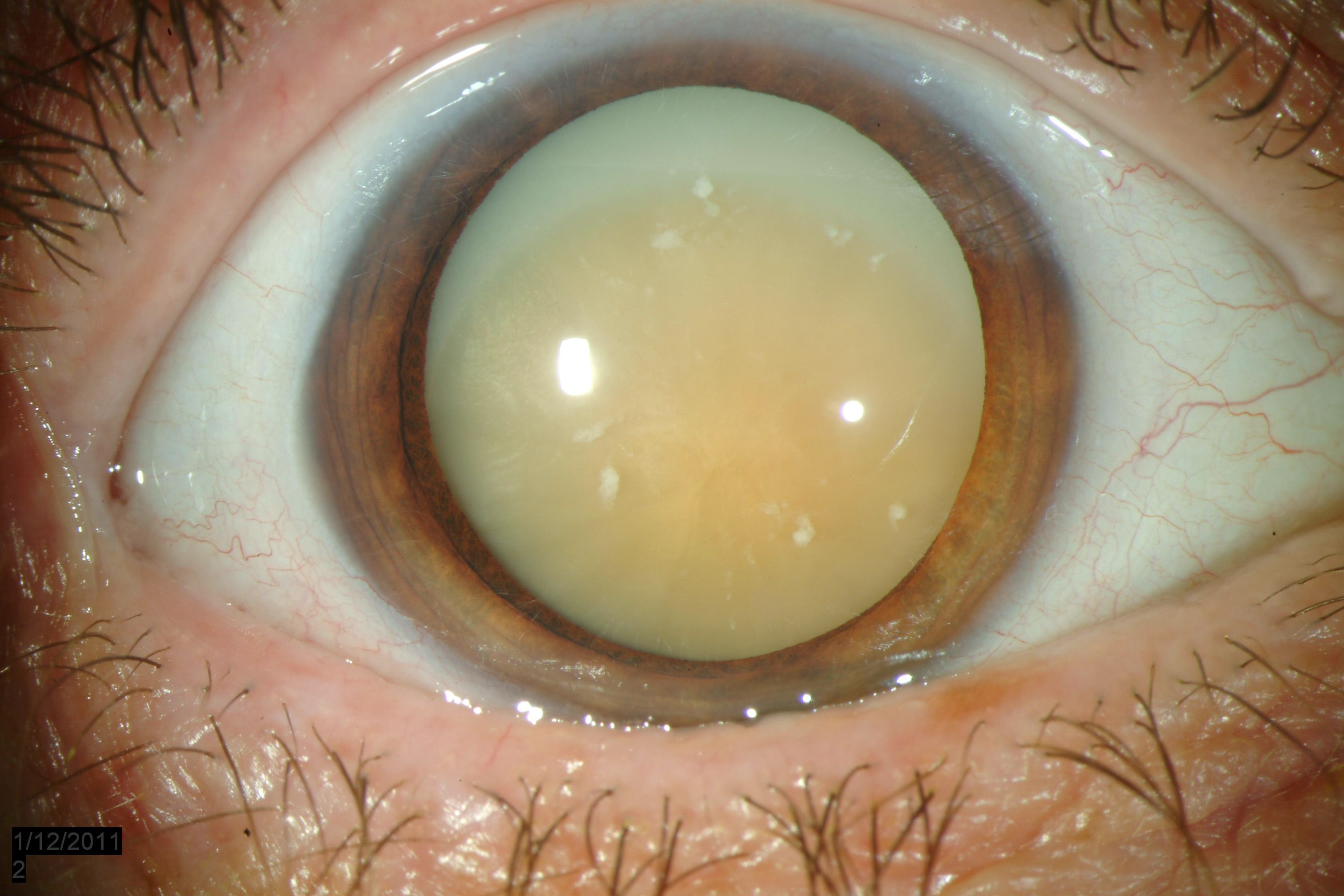
A cataract is a cloudy area in the lens of the eye that leads to a decrease in vision. Cataracts often develop slowly and can affect one or both eyes. The symptoms of cataract are as follows: ▪︎Vision that’s cloudy, blurry, foggy or filmy ▪︎Sensitivity to bright sunlight, lamps or headlights ▪︎Glare, especially when driving at night with oncoming headlights ▪︎Prescription changes in glasses, including sudden nearsightedness ▪︎Double vision ▪︎Poor night vision