
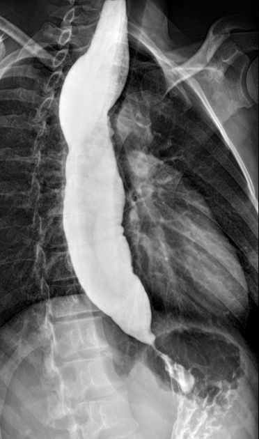
Achalasia is an esophageal motility disorder characterised by 3 major abnormalities: failure of the lower esophageal sphincter to relax with swallowing, loss of peristalsis in the distal two-thirds of the esophagus and increased resting tone of the lower esophageal sphincter. The exact cause of achalasia is poorly understood. Some researchers suspect it may be caused by a loss of nerve cells in the esophagus. The clinical presentation includes dysphagia for both solids and liquids, weight loss, nocturnal cough and regurgitation. The confirmed diagnosis is made by esophageal manometry and by doing an X-ray of the upper digestive system after the patient has swallowed a barium pill. The barium swallow shows esophageal dilatation with uniform tapering of the distal esophagus and this is know as the "Bird's beak appearance" as shown in the picture above. Achalasia treatment focuses on relaxing or stretching open the lower esophageal sphincter so that food and liquid can move more easily through the digestive tract. The nonsurgical treatment options include pneumatic dilation and the use of muscle relaxants such as calcium channel blockers (nifedipine), nitrates or injecting the botulinum toxin into the LES. The surgical options include performing the Heller's myotomy or a peroral endoscopic myotomy.