
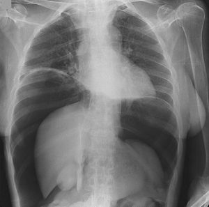
Pneumoperitoneum (gas within the peritoneal cavity, and is often the harbinger of a critical illness.).The most common cause of pneumoperitoneum is from the disruption of the wall of a hollow viscus
The diaphragm is the white line that the heart is sitting on halfway from both margins of the body. Definitely no hernia there :) but it is pushed upwards because of the increased intra-abdominal pressure.
Major causes include traumatic intubation, traumatic CPR , perforation during endoscopy, vigorous abdominal CPR, since its a "massive" pneumoperitoneum. Minor causes include GI perforation due to ulcers, tumors,foreign body,etc.